1. 症状
癌が進行すると消化管が閉塞してしまうことがあります。食道、胃、十二指腸が閉塞すると、吐いてしまったり、また食事を摂ることができなくなります。また大腸が閉塞すると、食事が摂れないだけでなく、大腸の圧力が高まって穴があいてしまう危険性も出てきます。従来は胃十二指腸閉塞に対しては外科的バイパス手術(胃と小腸をつないで迂回路を作る手術)が、大腸閉塞に対しては人工肛門造設術が幅広く行われていましたが、最近では消化管ステントもひとつの治療選択肢となってきています。
癌によって消化管(食道、胃、十二指腸、大腸)が閉塞した際に、消化管ステントを留置して消化管の閉塞を解除します。内視鏡を用いて留置できるため、外科的手術と比較して身体への負担が少ない治療です。
1. 症状
癌が進行すると消化管が閉塞してしまうことがあります。食道、胃、十二指腸が閉塞すると、吐いてしまったり、また食事を摂ることができなくなります。また大腸が閉塞すると、食事が摂れないだけでなく、大腸の圧力が高まって穴があいてしまう危険性も出てきます。従来は胃十二指腸閉塞に対しては外科的バイパス手術(胃と小腸をつないで迂回路を作る手術)が、大腸閉塞に対しては人工肛門造設術が幅広く行われていましたが、最近では消化管ステントもひとつの治療選択肢となってきています。
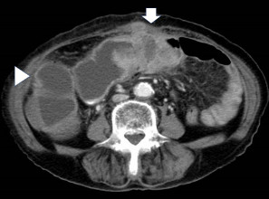
2. 検査・診断の方法
図1. 大腸閉塞の腹部CT検査
横行結腸の腫瘍により内腔が閉塞しており(矢印)、
口側大腸の拡張を認める(矢頭)。
腹部レントゲン検査および腹部CT検査によって閉塞部位を同定します。また同時に、消化管閉塞の部位が複数ないことを確認します。その後、消化管造影検査や内視鏡検査によって実際の消化管閉塞の詳細を評価します。
図2. 胃十二指腸閉塞における消化管造影検査、内視鏡検査3. 治療
図3. 胃十二指腸閉塞に対する
ステント留置の内視鏡写真
図4. 胃十二指腸閉塞に対する
ステント留置のレントゲン写真
食道、胃、十二指腸の場合には口から内視鏡を、大腸の場合にはおしりから内視鏡を挿入し、消化管閉塞を認めている部位まで内視鏡を誘導します。閉塞部分で再度造影検査を行い、実際の閉塞部位の長さや屈曲状況などを確認します。ガイドワイヤーを閉塞部分より奥まで誘導して、閉塞部分を十分覆う形でガイドワイヤーに沿わせて消化管ステントを留置して、閉塞を解除します。
消化管ステントは針金でできており、留置すると自己拡張力によって徐々に拡張していき、閉塞部分を押し広げていきます。留置後2-3日で多くの場合、完全拡張してきます。それにより癌によって閉塞した消化管を内腔から押し広げ、針金で裏打ちする形となります。
処置に伴う偶発症としては、消化管穿孔、出血、ステント逸脱、腹痛、誤嚥性肺炎などがあります。消化管穿孔は留置時以外にも、留置後にしばらくしてから起きることもあります。穿孔した場合には、全身状態にもよりますが、外科的手術が必要となります。ステント逸脱とは、留置した位置からステントがずれて抜けてしまうことです。留置後数日はステントの拡張に伴う痛みを生じる場合があります。その他、個々の病状に応じて処置に伴う偶発症の可能性はあります。
4. 当科の件数・治療成績
当科では現在(2018年5月)までに上下部あわせて数百件以上の消化管ステント留置術の経験があります。また学会や論文報告を通して、治療の有効性・安全性を報告するなどの普及活動も行っています。