超音波内視鏡(EUS)

超音波(エコー)装置を備えた内視鏡を用いて、消化管のなか(内腔)から膵臓・胆道および周囲の臓器、血管、リンパ節などを詳細に観察する検査で、診断に非常に役立ちます。近年では、検査のみならず、これを利用した様々な治療が行われています。

1. 超音波内視鏡とは

超音波内視鏡(EUS: Endoscopic Ultrasonography)は、文字通り超音波(エコー)装置をともなった内視鏡で、消化管のなか(内腔)から消化管壁や周囲組織・臓器などの診断をおこなう検査です。この検査も“胃カメラ”と同じく口から内視鏡を挿入します。通常の‘胃カメラ’では消化管の表面しか見ることが出来ませんが、超音波を用いることにより組織の内部の観察が可能となります。またEUSは体表からのエコー検査と異なり、胃や腸の中の空気や腹壁、腹腔内の脂肪、骨がエコーの妨げになることがなく、目的の病変(特に胆道や膵臓)の近くから観察が行えるため、より詳細に病変の情報を得ることができます。超音波内視鏡では、食道、胃、大腸の粘膜の層構造を見ることができるので、潰瘍などの病巣がどのくらい深くまで及んでいるか(深達度)や、表面には見えない粘膜下の腫瘍などを調べることができます。我々は、主に膵臓・胆道(胆のう、胆管)疾患に対する精密検査として用いています。 超音波内視鏡とは

2. 超音波内視鏡を利用した検査

超音波内視鏡は、CTやMRI検査と同様に画像検査です。病変の確定診断のためには、細胞や組織の一部を採取(生検)して、顕微鏡下に検査(病理検査)することが必要な場合があります。従来では確定診断が困難であった病変に対し、超音波内視鏡を用いて病変の一部を採取すること(超音波内視鏡ガイド下穿刺(EUS-FNA))で、質的な診断が可能となりました。膵臓や胆嚢・胆管の病変に限らず、腹腔内腫瘍・リンパ節や腹水、縦隔内の病変に対し、内視鏡的に細胞・組織を採取することが可能な画期的な診断法です。具体的には食道、胃、十二指腸などから超音波内視鏡で病変を観察し、介在する血管などがないことを確認して穿刺、検体を採取します。当院ではEUS-FNAを入院で行っています。手技時間は約30分~60分程度で、点滴で麻酔をして検査を行います。検査翌日合併症がないことを確認したうえで食事を開始しています。
当院でのEUS-FNAの適応は、
ⅰ) 画像診断で良悪性の鑑別が困難な腫瘍
ⅱ) 穿刺により治療方針が決定される場合
ⅲ) 化学療法前の病理学的確定診断を得る場合
などとしています。

3. 超音波内視鏡を利用した治療

 胆膵疾患による胆管狭窄のために閉塞性黄疸を生じることがあり、胆管へのステント留置が必要になることがあります。通常、第一選択としてERCPによるステント留置が試みられますが、様々な理由により困難な場合があります。このような場合、経皮経肝的胆道ドレナージ(PTBD)という処置が選択されることが多く、現在でも広く行われています。しかしPTBDの最大の欠点は、体の外にチューブや排液をためるボトルが必要となり、生活に支障を来たすことです。この難点を克服する新たな処置として、前述のEUS-FNAの手技を利用した超音波内視鏡下胆道ドレナージ(EUS-BD)という選択肢があります。

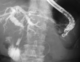
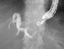
 実際の症例をお示します。患者さんは膵癌により胆管が詰って黄疸が出現しました。膵癌が十二指腸へ広がり内腔が狭くなったため、内視鏡が通過せず、通常のERCPによるステント留置が不可能でした。そのためEUS-BDを施行しました。胃内から超音波内視鏡で肝臓の中の胆管を観察して、胆管を穿刺します(図1)。胆管に造影剤を満たし(図2)、ガイドワイヤーを挿入し、胆管金属ステントを留置しました(図3,4)。この手技により、体内にチューブを埋め込む形で胆汁の流れを確保することができ、黄疸は改善しました。

図1図1

図2図2

図3図3

図4図4

4. 当科の件数・治療成績

 当科では、EUS施行医が複数名の体制を組んで、年間約670件の検査・治療を行っております。治療の内訳では、EUS-FNAを年間約160件、EUS関連ドレナージ術を年間約30件と多くの方に施術させて頂いております。

ページの先頭へTOP