1. 症状
膵臓は胃の後ろにあるので、みぞおちの辺りの痛みや背中の痛みを訴える患者さんが多いです(約80%)。食欲不振、悪心・嘔吐、腹部膨満感など、いわゆる「お腹(胃)の不調」のような症状が一般的です。
膵臓が硬くなった結果、胆汁の通り道である胆管が狭くなり、黄疸になってしまうこともあります。
他には、消化・吸収が悪くなるために下痢(脂肪便)を起こしたり、糖尿病を合併することもあります。
膵臓に繰り返し炎症が起こることで、膵臓が痩せて(萎縮)、硬くなってしまう(線維化)病気です。膵臓の中に石(膵石)ができることも多いです。
1. 症状
膵臓は胃の後ろにあるので、みぞおちの辺りの痛みや背中の痛みを訴える患者さんが多いです(約80%)。食欲不振、悪心・嘔吐、腹部膨満感など、いわゆる「お腹(胃)の不調」のような症状が一般的です。
膵臓が硬くなった結果、胆汁の通り道である胆管が狭くなり、黄疸になってしまうこともあります。
他には、消化・吸収が悪くなるために下痢(脂肪便)を起こしたり、糖尿病を合併することもあります。
2. 原因・病態
慢性膵炎の原因としては、飲酒によるもの(アルコール性)が最も多いです(約68%)。喫煙も慢性膵炎に罹りやすくなると言われています。
そのほかには、脂質異常症・副甲状腺機能亢進症なども知られています。原因のわからない特発性膵炎も約20%近く存在します。特発性膵炎の中には、ごく稀ですが遺伝子の異常によるものもあります。
男女別にみると、男性ではアルコール性が最も多く70%を越えます。一方、女性では特発性が最も多く、約50%です。
慢性膵炎では、膵液(消化液)の通り道である膵管がひきつれて細くなったり(膵管狭窄)、膵管の中に膵石ができたりして、膵液の流れが悪くなり、痛みが起こると考えられています。膵液が腸にうまく流れないと、膵臓やその周囲に膵液が漏れ出し、仮性嚢胞と呼ばれる膵液のたまりを作ってしまうこともあります。
また膵臓が痩せてしまうために、膵液の分泌が不足して、特に脂肪の消化・吸収が悪くなります。その結果、脂肪便と呼ばれる、やや黄色みを帯びた白色の、量の多い、脂の浮いた便となることがあります。
膵臓が痩せると、血糖を下げるホルモンであるインスリンも不足し、糖尿病となることも多いです。
さらに、慢性膵炎の患者さんは膵癌になりやすいことが知られています。
3. 検査・診断の方法
検査の方法としては、腹部超音波検査(腹部エコー)が最も簡便な方法です。そのほかに、CT検査やMRI検査も行われることがあります。
最近になって、「早期慢性膵炎」といって、慢性膵炎を早い段階で発見して、治療に結びつけようという試みがなされています。これには、超音波内視鏡検査といって、先端に超音波(エコー)の装置がついた胃カメラで、胃の中から膵臓を観察する検査が有用です。
4. 治療
アルコール性慢性膵炎の場合、治療の基本は禁酒です。喫煙も慢性膵炎を悪化させるので、禁煙も重要です。
慢性膵炎による痛みの治療としては、痛み止めや蛋白分解酵素阻害薬の内服を行います。
膵管の狭窄(細くなったところ)や膵石が痛みの原因と考えられる場合には、内視鏡を用いた治療を行います。膵管の狭窄部を広げるために、ステント(プラスチック製の筒)を留置したり、内視鏡を用いて膵石を除去したりします。
膵石が大きい場合には、内視鏡の治療だけでは治療が困難なので、ESWL(体外衝撃波結石破砕術)を併用します。
膵液の不足による、消化・吸収不良(脂肪便など)の症状に対しては、膵酵素薬の内服(膵酵素補充療法)を行います。
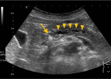
【慢性膵炎の超音波画像】
膵管の中に白い膵石(矢印)がはまり込んでいる。
膵液の流れが悪くなった結果、膵管が太くなっている(矢頭)。
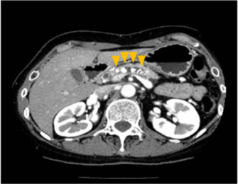
【慢性膵炎のCT画像】
太くなった膵管の中に白い膵石(矢頭)が複数認められる
【内視鏡による膵石の除去】
内視鏡を使って膵管(矢頭)の中に造影剤を注入し、膵石の位置を確認する。膵石はバスケット(矢印)という道具を使って、腸の中につかみだす。
【内視鏡による膵管ステントの留置】
膵管の狭いところ(狭窄)を広げるために、プラスチック製のステント(矢印)を内視鏡を使って留置する。写真は3本のステントが留置されている。